n/ Hirnmetastasen

Diagnose
Hirnmetastasen
Diagnose Gruppe
maligner Tumor
Differenzialdiagnose
Topographie Gruppe
Nervensystem
Topographie
ZNS
Einleitung
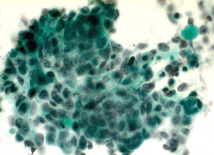
Die meisten Hirnmetastasen stammen von Karzinomen, wobei Mamma- und Bronchuskarzinome am häufigsten sind. Im Unterschied zu allen primären Hirntumoren bilden Karzinommetastasen Verbände. Am schwierigsten ist die Differentialdiagnose von Glioblastoma multiforme und grosszelligem Karzinom. In beiden Fällen sind Tumornekrosen typisch. Auch bei einem Karzinom kann der Hintergrund neurofibrilläre Matrix aus dem umgebenden Hirngewebe enthalten. Kleinzellige Karzinome müssen von Lymphomen und Medulloblastomen abgegrenzt werden.
Unten finden Sie Beispiele von Metastasen eines Plattenepithelkarzinoms, eines Adenokarzinoms und eines kleinzelligen Karzinoms.
Klinik
-
Normalbefund
Morphologie
Makroskopie
Virtuelles Präparat
Befund
Pathologischer Befund
Normalbefund
Literatur
Datum
Ersteintrag: 01.04.2003
Update: 01.04.2003