PathoPic – image database / PathoPic ID 5639 - Kleinzelliges Karzinom: Hirnmetastase

de
Diagnose
Kleinzelliges Karzinom: Hirnmetastase
Diagnose Gruppe
maligner Tumor
Topographie
Hirn occipital
Topographie Gruppe
Nervensystem
Beschreibung
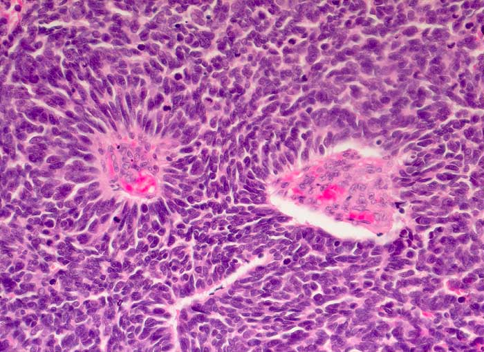
Kleine dichtgepackte Tumorzellen mit eckigen hyperchromatischen Kernen und spärlich Zytoplasma. Pseudorosettenbildung um Gefässe.
Klinik
Metastasierendes Karzinom. Vor fünf Jahren Operation eines kleinzelligen Lungenkarzinoms.
Bilder Typ
Histologie
Vergrösserung
200
Alter
56
Geschlecht
männlich
Datum
Ersteintrag: 26.12.2002
Update: 14.02.2003