n/ Amiodarone Schaden

Diagnose
Amiodarone Schaden
Diagnose Gruppe
Therapiefolgen
Differenzialdiagnose
Topographie Gruppe
Lunge, Mediastinum mit Thymus
Topographie
Broncho-alveoläre Lavage
Einleitung
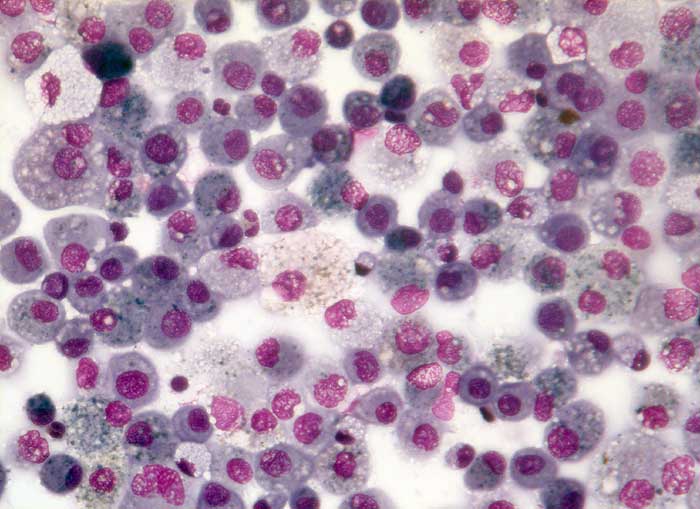
Das Antiarrhythmikum Amiodarone kann bei einem Teil der Patienten Lungeninfiltrate verursachen. Wichtigster Befund in der BAL ist eine Vermehrung der Makrophagen auf über 300x10^6/l. Viele Makrophagen sind zu Schaumzellen umgewandelt und am besten in der MGG Färbung an ihrem breiten fein vakuolären Zytoplasma erkennbar. Gleich aussehende Makrophagen werden auch im Pleuraerguss beobachtet. Daneben können Neutrophile, Eosinophile und Lymphozyten vermehrt sein. Die Makrophagen enthalten elektronenmikroskopisch darstellbare lamelläre Körperchen. Eine grosse Anzahl dieser Körperchen beweist einen Amiodaroneschaden.
Klinik
-
Normalbefund
Morphologie
Makroskopie
Virtuelles Präparat
Befund
Pathologischer Befund
Normalbefund
Literatur
Datum
Ersteintrag: 01.04.2003
Update: 01.04.2003