PathoPic – image database / PathoPic ID 5788 - Schaumzellen vereinbar mit Amiodarone-Schaden

de
Diagnose
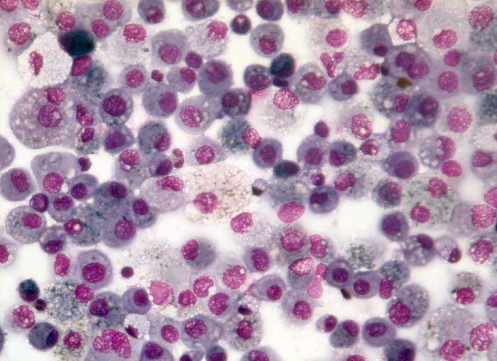
Schaumzellen vereinbar mit Amiodarone-Schaden
Diagnose Gruppe
Therapiefolgen
Topographie
Broncho-alveoläre Lavage
Topographie Gruppe
Lunge, Mediastinum mit Thymus
Beschreibung
Makrophagen teils mit ausgeprägt schaumzelligem Zytoplasma.
Zusatzbefund
Elektronenmikroskopisch zeigt die Mehrzahl der Makrophagen dichte Lipidtropfeneinlagerungen. Darüber hinaus enthalten die Makrophagen aber auch immer wieder viele, teilweise konfluierende und ganz unterschiedlich grosse und unterschiedlich gestaltete multilamelläre Körperchen, wie bei einem Amiodarone-Schaden beobachtet wird. Die Befunde passen gut zu dem konventionell lichtmikroskopischen Befund, wonach die Lavage auffallend viele schaumzellig umgewandelte Makrophagen enthält.
Klinik
Verdacht auf Cordarone-Lunge: Interstitielle Pneumonie, jahrelange Cordarone-Therapie.
Bilder Typ
Zytologie
Vergrösserung
320
Alter
56
Geschlecht
männlich
Datum
Ersteintrag: 10.12.2002
Update: 16.06.2006