n/ Plattenepithelkarzinom der Lunge

Diagnose
Plattenepithelkarzinom der Lunge
Diagnose Gruppe
maligner Tumor
Differenzialdiagnose
Topographie Gruppe
Lunge, Mediastinum mit Thymus
Topographie
Lunge
Einleitung
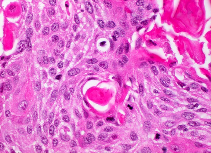
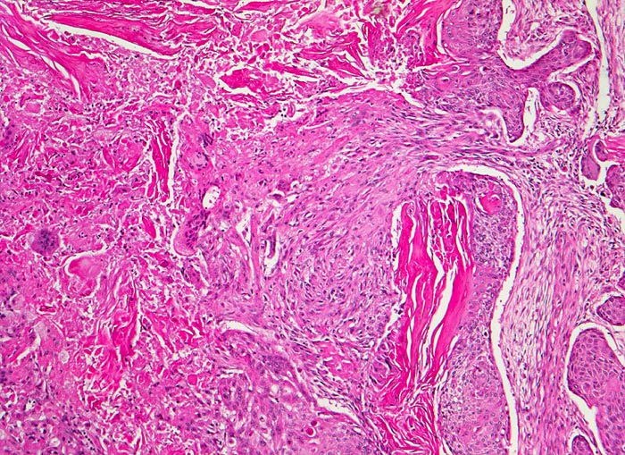
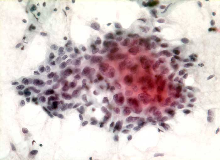
Verhornende Plattenepithelkarzinome sind charakterisiert durch mehr einzeln gelagerte Zellen mit deutlicher Pleomorphie, das Zytoplasma ist dicht und orangeophil. Die Kerne sind pyknotisch oder erinnern an Lavabrocken.
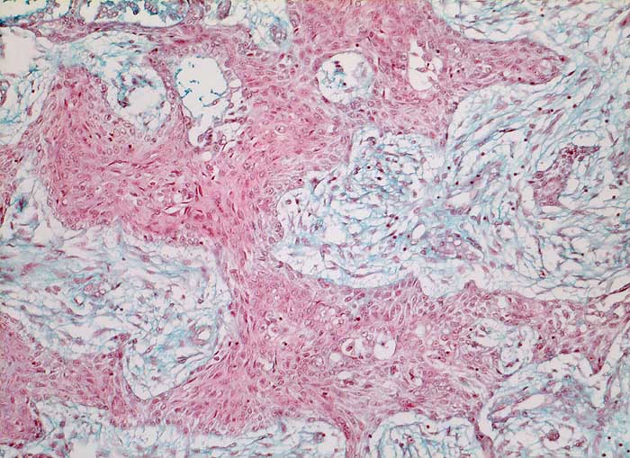
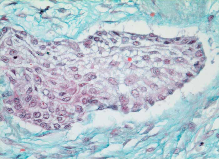
Die häufigeren nicht verhornenden Plattenepithelkarzinome bilden eher Verbände. Die Tumorzellen sind uniformer, das dichte Zytoplasma ist blau-grün gefärbt und scharf begrenzt. Die Zellkerne sind hyperchromatisch und enthalten grosse Nukleolen. Die Abgrenzung des nicht verhornenden Plattenpithelkarzinoms vom Adenokarzinom kann schwierig sein. In der Regel ist das Kernchromatin der Plattenepithelkarzinome dichter und die Nukleolen weniger prominent.
Die Abbildungen zeigen ein verhorntes und ein unverhorntes Plattenepithelkarzinom zum Vergleich.
Klinik
-
Normalbefund
Morphologie
Makroskopie
Virtuelles Präparat
Befund
Pathologischer Befund
Normalbefund
Literatur
Datum
Ersteintrag: 24.03.2003
Update: 24.03.2003