PathoPic – image database / PathoPic ID 5765 - mässig differenziertes Plattenepithelkarzinom

de
Diagnose
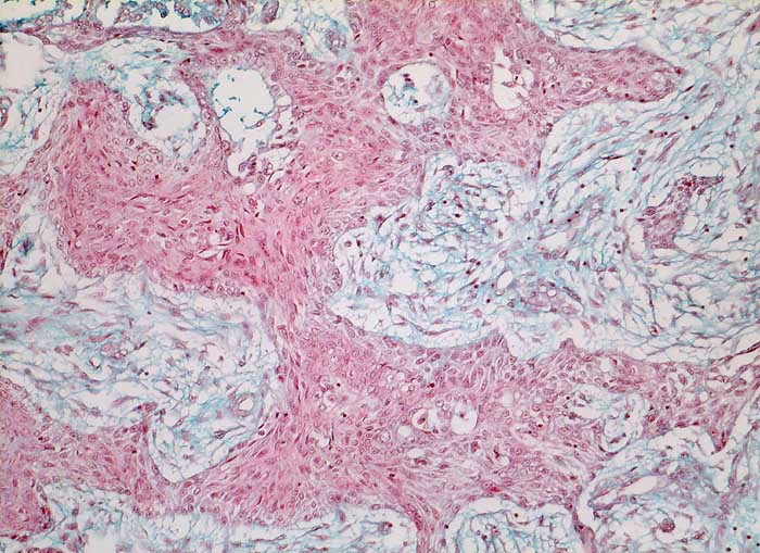
mässig differenziertes Plattenepithelkarzinom
Diagnose Gruppe
maligner Tumor
Topographie
Lunge
Topographie Gruppe
Lunge, Mediastinum mit Thymus
Beschreibung
Solider Tumorzellverband ohne erkennbare Verhornung. Reichlich desmoplastisches Stroma.
Bilder Typ
Histologie
Vergrösserung
100
Alter
69
Geschlecht
unbekannt
Datum
Ersteintrag: 03.12.2002
Update: 17.02.2003