n/ Aspergillus

Diagnose
Aspergillus
Diagnose Gruppe
Entzündung infektiös
Differenzialdiagnose
Topographie Gruppe
Lunge, Mediastinum mit Thymus
Topographie
Broncho-alveoläre Lavage
Einleitung
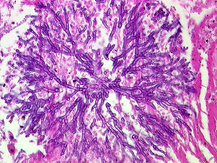
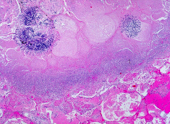
Aspergillen gehören in die Gruppe der Schimmelpilze und wachsen ubiquitär auf organischen Stoffen. Der Erreger ist charakterisiert durch echte septierte Hyphen von 3 bis 6 Mikrometer Durchmesser. Die Hyphen verzweigen sich in einem Winkel von 45 Grad. Selten sind auch die (> 10851) (> 10849) Fruchtköpfe (Conidiophoren) nachweisbar. Aspergillusinfekte manifestieren sich je nach Resistenzlage als Aspergillom, invasive Aspergillose oder allergische Aspergillose. Der Nachweis von Aspergillus beweist noch nicht eine klinisch relevante Infektion.
Klinik
-
Normalbefund
Morphologie
-
Makroskopie
Virtuelles Präparat
Befund
Pathologischer Befund
Normalbefund
Literatur
Datum
Ersteintrag: 20.07.2011
Update: 20.07.2011