PathoPic – image database / PathoPic ID 4823 - Aspergilluspneumonie

de
Diagnose
Aspergilluspneumonie
Diagnose Gruppe
Entzündung infektiös
Topographie
Lunge
Topographie Gruppe
Lunge, Mediastinum mit Thymus
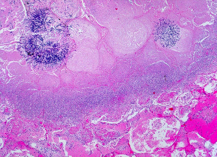
Beschreibung
Zwei Pilzkolonien im Zentrum der Gewebsnekrose. Angrenzend an das Nekroseareal folgt ein Saum von zerfallenden neutrophilen Granulozyten (blau) und weiter aussen der hyperämische Randsaum mit den Fibrinexsudaten.
Klinik
Seit 14 Monaten bekannte chronische lymphatische Leukämie behandelt mit Chemotherapie. Der Patient entwickelt unter Therapie eine Pneumonie und verstirbt an einer Pilzsepsis.
Bilder Typ
Histologie
Vergrösserung
25
Alter
69
Geschlecht
männlich
Datum
Ersteintrag: 06.10.2002
Update: 31.05.2004