g/ LSIL: leichte Dysplasie des Plattenepithels

Diagnose
LSIL: leichte Dysplasie des Plattenepithels
Diagnose Gruppe
Präneoplasie/ Atypie/ Dignität?
Differenzialdiagnose
Topographie Gruppe
Mamma
Topographie
Portio
Einleitung
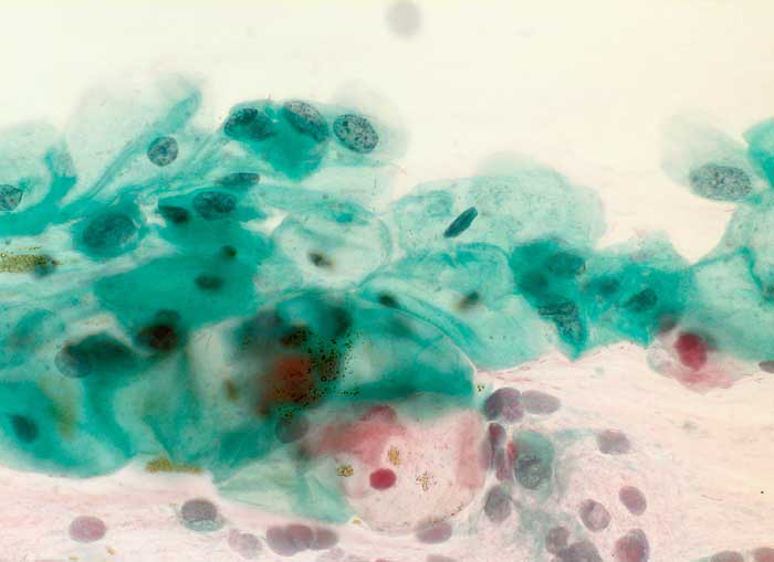
Die leichte Dysplasie und koilozytäre Veränderungen werden in der Bethesda Klassifikation eingeteilt als low grade squamous intraepithelial lesion (LSIL). Die zytoplasmatische Ausreifung der leicht dysplastischen Zellen entspricht dem Superficial- bis Intermediärzelltyp. Die Kerne sind leicht vergrössert und entrundet. Das Kernchromatin ist fein granuliert bis leicht vergröbert und regelmässig verteilt. Die Kernmembran kann einzelne leichte Einkerbungen zeigen.
Klinik
-
Normalbefund
Morphologie
Makroskopie
Virtuelles Präparat
Befund
Pathologischer Befund
Normalbefund
Literatur
Datum
Ersteintrag: 02.04.2003
Update: 02.04.2003