PathoPic – image database / PathoPic ID 6278 - leichte Dysplasie des Plattenepithels CIN I, LSIL

de
Grad
Diagnose
leichte Dysplasie des Plattenepithels CIN I, LSIL
Diagnose Gruppe
Präneoplasie/ Atypie/ Dignität?
Topographie
Portio
Topographie Gruppe
Genitalorgane, weiblich
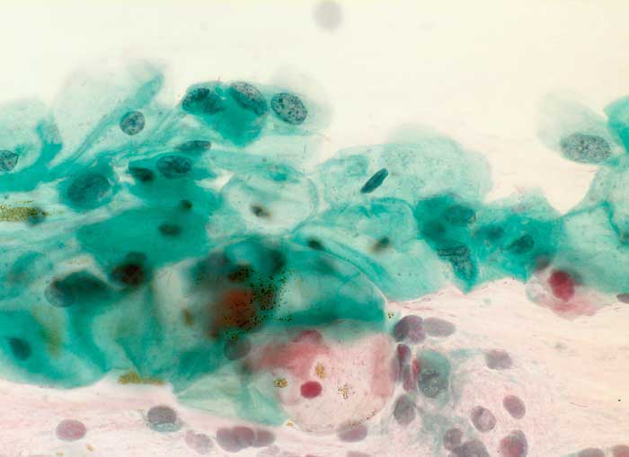
Beschreibung
Portio/Zervix Abstrich: Mehrere Zellen vom intermediären Typ. Kerne leicht vergrössert und deformiert. Chromatinkörnung etwas verstärkt. Zytoplasma breit und unauffällig. Der Einschluss von feinen Luftblasen vor dem Eindecken führt zu einer Ansammlung geldgolber Kügelchen.
Klinik
Vorsorgeuntersuchung
Bilder Typ
Zytologie
Vergrösserung
25
Alter
19
Geschlecht
unbekannt
Datum
Ersteintrag: 30.01.2003
Update: 10.08.2010