g/ Nicht klassifizierbare Plattenepithelien (ASCUS)

Diagnose
Nicht klassifizierbare Plattenepithelien (ASCUS)
Diagnose Gruppe
Präneoplasie/ Atypie/ Dignität?
Differenzialdiagnose
Topographie Gruppe
Mamma
Topographie
Portio
Einleitung
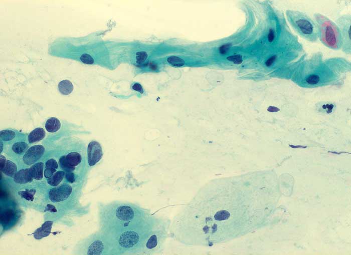
Die Kategorie "atypical squamous cells of undetermined significance" der Bethesda Klassifikation umfasst entzündliche, reaktive und nicht klassifizierbare Plattenepithelveränderungen. Die Atypien übersteigen dabei das Mass gewöhnlicher reparativer Veränderungen. In den meisten Fällen sind reife Plattenepithelien betroffen. Nicht klassifizierbare Plattenepithelveränderungen können aber auch in metaplastischen oder atrophen Epithelien angetroffen werden. Die Diagnose ASCUS im atrophen Abstrich kann dann gestellt werden, wenn die Kerne mindestens zweimal so gross sind wie normal und eine deutliche Hyperchromasie zeigen, die Kernkontur bzw. Chromatinverteilung unregelmässig ist oder eine deutliche Pleomorphie in Form von Tadpole Zellen oder spindeligen Zellen vorhanden ist. In solchen Fällen kann nach einer kurzfristigen lokalen Östrogenbehandlung der Abstrich wiederholt werden. Gutartige atrophieassoziierte Veränderungen verschwinden unter Östrogentherapie. Signifikante präkanzeröse Läsionen persistieren hingegen und sind auf dem Hintergrund ausgereifter Zellen besser erkennbar.
Klinik
-
Normalbefund
Morphologie
Makroskopie
Virtuelles Präparat
Befund
Pathologischer Befund
Normalbefund
Literatur
Datum
Ersteintrag: 01.04.2003
Update: 01.04.2003