PathoPic – image database / PathoPic ID 6113 - ASCUS

de
Diagnose
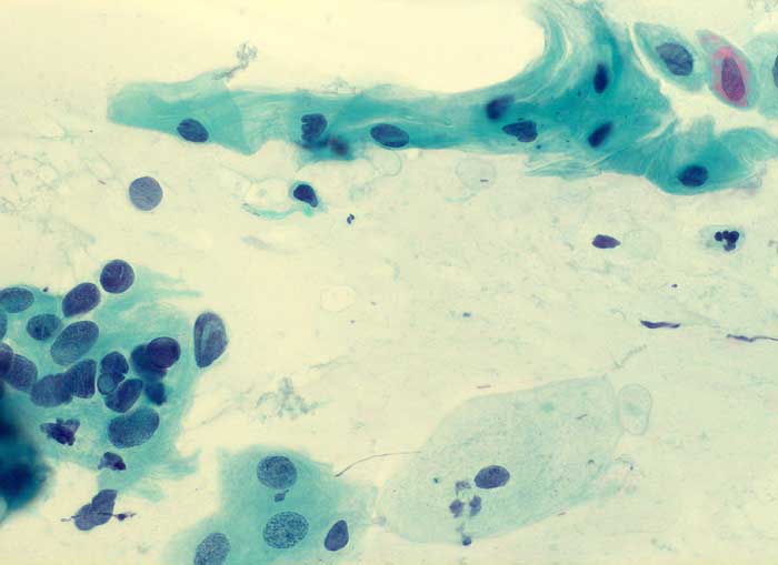
ASCUS
Diagnose Gruppe
Präneoplasie/ Atypie/ Dignität?
Topographie
Zervix
Topographie Gruppe
Genitalorgane, weiblich
Beschreibung
Zervixabstrich: hoher Epithelaufbau. Nicht sicher klassifizierbare Plattenepithelien mit vergrösserten hyperchromatischen Kernen und mittelbreitem Zytoplasmasaum.
Zusatzbefund
Keine histologische Untersuchung. Weitere zytologische Kontrollen unverdächtig.
Bilder Typ
Zytologie
Vergrösserung
400
Alter
74
Geschlecht
unbekannt
Datum
Ersteintrag: 21.01.2003
Update: 30.07.2010