g/ Trichomonas vaginalis und Leptothrix

Diagnose
Trichomonas vaginalis und Leptothrix
Diagnose Gruppe
Entzündung infektiös
Differenzialdiagnose
Topographie Gruppe
Mamma
Topographie
Portio
Einleitung
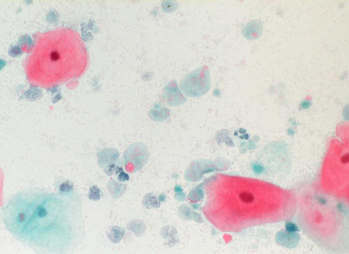
Leptothrix sind apathogene, fadenförmige Fäulnisbakterien, die die Vagina als Saprophyten besiedeln. Leptothrix tritt häufig zusammen mit Trichomonaden, weniger häufig mit Mykosen und anderen Mischinfektionen der Vagina auf.
Trichomonas vaginalis sind Protozoen der Klasse der Flagellaten, deren mikroskopischer Nachweis am einfachsten im unfixierten Vaginalsekret gelingt. Aufgrund der charakteristischen Form und der lebhaften Bewegungen sind sie leicht erkennbar. Im Portioabstrich ist die Diagnose deutlich schwieriger. Die Trichomonadenkolpitis geht einher mit erheblichen entzündlich bedingten reaktiven Kernveränderungen, die nach Therapie verschwinden. Dazu gehören intensiv eosinophile Intermediärzellen mit perinukleärem Hof, die an Koilozyten erinnern. Trichomonaden können mit Nacktkernen bei bakterieller Zytolyse verwechselt werden.
Klinik
-
Normalbefund
Morphologie
Makroskopie
Virtuelles Präparat
Befund
Pathologischer Befund
Normalbefund
Literatur
Datum
Ersteintrag: 01.04.2003
Update: 01.04.2003