Pathopic
HiPaKu
ZyPaKu
PathoBasic
PathoBasic Cytology
Quizzes
Projektinfos
PathoPic - Projekt- und Copyright-Info
About
Pathopic
HiPaKu
ZyPaKu
PathoBasic
PathoBasic Cytology
Quizzes
PathoPic – image database
/
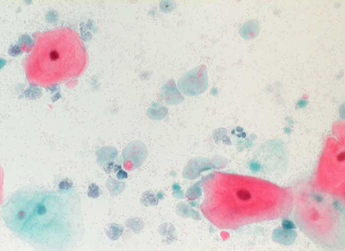
PathoPic ID 6272 - Trichomonadenkolpitis
de
Diagnose
Trichomonadenkolpitis
Diagnose Gruppe
Entzündung infektiös
Topographie
Portio
Topographie Gruppe
Genitalorgane, weiblich
Beschreibung
Birnenförmige zyanophile Trichomonaden mit eosinophilen Granula im Zytoplasma und exzentrischem transparentem Kern. Intermediärzellen.
Klinik
Vorsorgeuntersuchung
Bilder Typ
Zytologie
Vergrösserung
400
Alter
22
Geschlecht
unbekannt
Datum
Ersteintrag: 30.01.2003
Update: 10.08.2010
CPS
·
©
2024 Institut für Pathologie Basel
/
Dr. med. Katharina Glatz-Krieger
.
·
v2.1