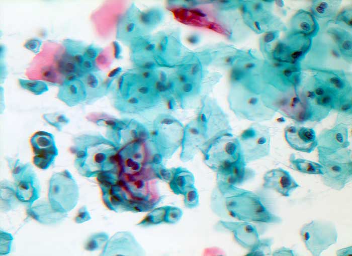
g/ LSIL: Koilozyten bei HPV Infekt

Diagnose
LSIL: Koilozyten bei HPV Infekt
Diagnose Gruppe
Präneoplasie/ Atypie/ Dignität?
Differenzialdiagnose
Topographie Gruppe
Mamma
Topographie
Portio
Einleitung
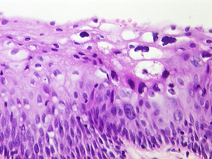
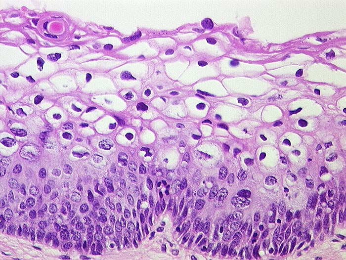
Die Infektion durch das humane Papillomvirus führt bei den befallenen Plattenepithelzellen zu einem charakteristischen zytopathischen Effekt. Die als Koilozyten bezeichneten infizierten Plattenepithelien sind oft doppel- oder mehrkernig. Die Kerne sind geschrumpft, pyknotisch und hyperchromatisch. Das Zytoplasma zeigt einen perinukleären hellen Hof und einen verdichteten Randwall. Dyskeratozyten mit dichtem orangem Zytoplasma und atypischen dichten oder pynknotischen Kernen weisen ebenfalls auf den HPV Infekt hin. Der nach Papanicolaou gefärbte Ausstrich zeigt nur in 60-80% der HPV Infektionen die klassischen zytologischen Kriterien der HPV Infektion. Umgekehrt kann nur in 50% der Fälle mit dem klasssichen Bild der kondylomatösen Läsion Papillomavirus-DNS nachgewiesen werden.
Klinik
-
Normalbefund
Morphologie
Makroskopie
Virtuelles Präparat
Befund
Pathologischer Befund
Normalbefund
Literatur
Datum
Ersteintrag: 01.04.2003
Update: 01.04.2003