Pathopic
HiPaKu
ZyPaKu
PathoBasic
PathoBasic Cytology
Quizzes
Projektinfos
PathoPic - Projekt- und Copyright-Info
About
Pathopic
HiPaKu
ZyPaKu
PathoBasic
PathoBasic Cytology
Quizzes
PathoPic – image database
/
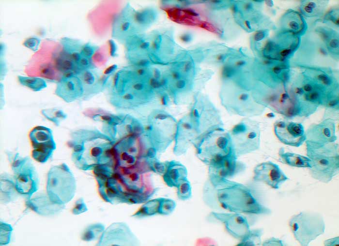
PathoPic ID 5382 - HPV Infektion: flache kondylomatöse Läsion mit Koilozyten
de
Diagnose
HPV Infektion: flache kondylomatöse Läsion mit Koilozyten
Diagnose Gruppe
Entzündung infektiös
Topographie
Portio
Topographie Gruppe
Genitalorgane, weiblich
Beschreibung
Portioabstrich: Superficialzellen, Intermediärzellen und typische, teils
zweikernige Koilozyten mit
perinukleärem Hof und zytoplasmatischem
Randwall.
Klinik
VIN III
Bilder Typ
Zytologie
Vergrösserung
400
Alter
40
Geschlecht
unbekannt
Datum
Ersteintrag: 20.11.2002
Update: 10.08.2010
CPS
·
©
2024 Institut für Pathologie Basel
/
Dr. med. Katharina Glatz-Krieger
.
·
v2.1