Basel 1MA/ Osteochondrom

Diagnose
Osteochondrom
Diagnose Gruppe
benigner Tumor
Differenzialdiagnose
Topographie Gruppe
Knochen, Knorpel, Gelenke
Topographie
Knochen, Femur
Einleitung
Lokalisation:
Prädilektionsstellen sind die Metaphysen der langen Röhrenknochen, seltener Becken, Rippen oder Wirbelsäule.

Morphologie:
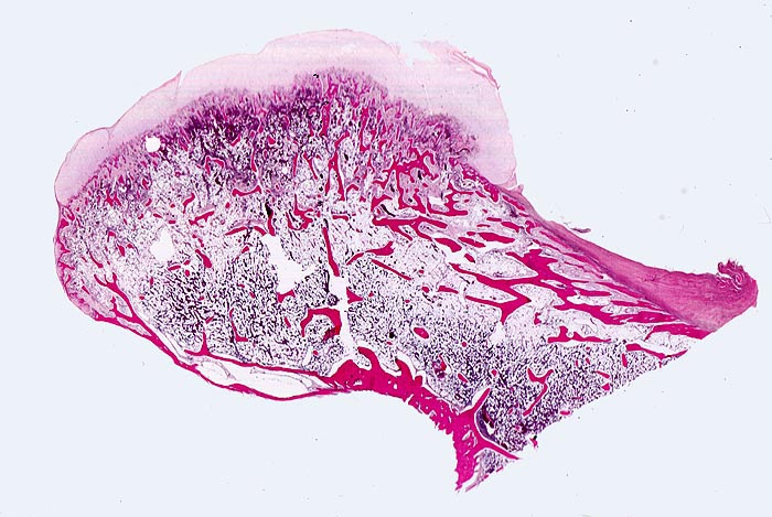
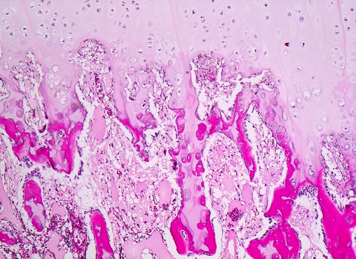
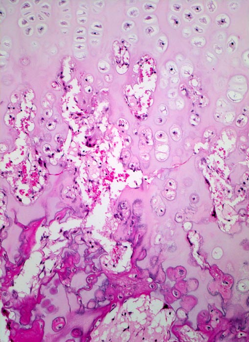
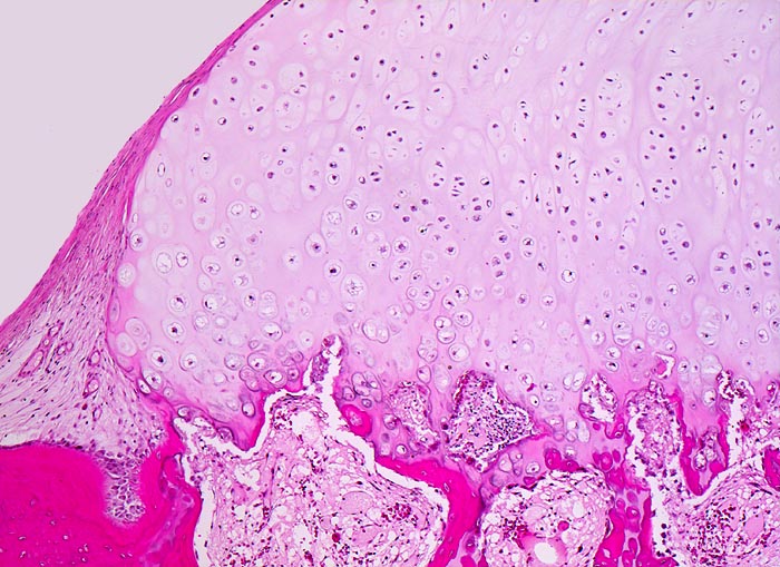
Osteochondrome sind breitbasig dem Knochen aufsitzende oder gestielte knöcherne Tumoren, die von einer 1-6mm dicken Kappe aus hyalinem Knorpel bedeckt werden. Zwischen Knorpel und Knochen liegt eine Zone enchondraler Ossifikation, die der normalen Wachstumsfuge ähnelt und den Ausgangspunkt für die Grössenzunahme des Tumors bei noch nicht abgeschlossenem Skelettwachstum darstellt. Der hyaline Knorpel wirkt etwas unorganisiert und ist bedeckt von einer dünnen Schicht Perichondrium.

Komplikationen:
Eine Knorpeldicke von über 2cm und erneute Grössenzunahme oder Auftreten von Schmerzen nach Abschluss des Skelettwachstums sind Zeichen einer möglichen malignen Transformation in ein sekundäres (epiexostotisches) Chondrosarkom (weniger als 1% der Fälle). Frakturen des Stiels mit ausgeprägter Kallusbildung oder die Entwicklung einer Pseudarthrose können vorkommen. Auf der Knorpeloberfläche kann als Antwort auf mechanische Reizung eine Bursa entstehen, die ein Grössenwachstum des Osteochondroms vortäuschen kann. Multiple Osteochondrome stellen ein eigenes Krankheitsbild dar, das autosomal-dominant vererbt wird (= Exostosenkrankheit) und mit einem etwas höheren Entartungsrisiko assoziiert ist. Eine Exostosenkrankheit kann diagnostiziert werden, wenn mehr als ein Osteochondrom vorliegt.

update 5.9.2018
Klinik
Vorkommen:
Osteochondrome (Synonym: kartilaginäre Exostosen) sind nach den nicht-ossifizierenden Knochenfibromen (NOF) die häufigsten gutartigen Knochentumoren. Betroffen sind meist Patienten in den ersten zwei Lebensdekaden.

Symptomatik:
Meistens sind Osteochondrome asymptomatisch und fallen als Zufallsbefund im Röntgenbild oder als schmerzlose Knochenverdickung auf. Schmerzen können durch Traumatisierung oder Druck auf Muskeln, Sehnen oder Gefäss-Nervenbündel entstehen.

Diagnostik:
Im konventionellen Röntgenbild lassen sich gestielte und breitbasige Osteochondrome unterscheiden, wobei letztgenannte Formen immer vom Gelenk weggerichtet sind. Ein wichtiges Charakteristikum ist, dass die Spongiosa des Osteochondroms mit der Spongiosa des ortsständigen Knochens in Verbindung steht und die Läsion nicht einfach nur der Kompakta aufsitzt. Die Knorpelkappe ist im konventionellen Röntgenbild (> 5033) nur angedeutet erkennbar, kann aber im CT, MRI oder im Ultraschall dargestellt und ausgemessen werden. In der Mehrzahl der sporadischen aber v.a. der hereditären Osteochondrome lassen sich biallelische Inaktivierungen des EXT1 oder EXT2 Gens nachweisen, was die neoplastische Genese der Läsionen unterstreicht.

Therapie:
Die chirurgische Entfernung ist nur dann indiziert, wenn es zu Symptomen, insbesondere Schmerzen durch Kompression neurovaskulärer Strukturen oder einer Bursitis, kommt. Ausserdem sollten Tumoren, die nach Abschluss des Wachstums erneut an Grösse zunehmen, entfernt werden. Bei der Abtragung ist darauf zu achten, dass die gesamte Knorpelkappe (proliferierender Tumoranteil) entfernt wird, um ein Rezidiv zu verhindern.

update 5.9.2018
Normalbefund
Morphologie
Morphologische Merkmale:
  • Kappenförmiges hyalines Knorpelgewebe ohne Zellatypien sitzt auf einem knöchernen Stiel. Die Knorpelkappe ist 2mm dick.
  • Knorpelkappe bedeckt von einem schmalen Saum zellarmen Bindegewebes (=Perichondrium).
  • Übergang des Knorpels in enchondrale Ossifikationszone wie in einer Epiphysenfuge: Knochen wird abgelagert entlang von linearen Knorpelsäulen.
Das sollte der Kliniker dem Pathologen mitteilen:
  • Genaue Lokalisation.
  • Radiologischer Befund.
  • Dicke der Knorpelkappe.
  • Grössenzunahme des Tumors nach Abschluss des Knochenwachstums.
  • Vorliegen multipler Osteochondrome.
Makroskopie
Virtuelles Präparat
Befund
Pathologischer Befund
Normalbefund
Literatur
Datum
Ersteintrag: 01.04.2019
Update: 01.04.2019