PathoPic – image database / PathoPic ID 4502 - Osteochondrom

de
Diagnose
Osteochondrom
Diagnose Gruppe
benigner Tumor
Topographie
Knochen, Femur
Topographie Gruppe
Knochen, Knorpel, Gelenke
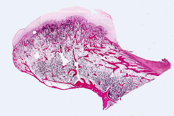
Beschreibung
Kappenförmig konfiguriertes hyalines Knorpelgewebe sitzt auf einem knöchernen Stiel. Die Knorpeloberfläche wird bedeckt von einem schmalen Saum aus zellarmem Bindegewebe (=Perichondrium). Übergang des Knorpels in enchondrale Ossifikationszone. Daran anschliessend normale Spongiosa.
Klinik
Geringe, gelegentlich mechanisch störende schmerzlose Schwellung an der Innenseite des Oberschenkels kurz oberhalb des Knies.
Kommentar
Wichtig: Präparat muss senkrecht auf den Knochen hin so zugeschnitten werden, dass der Knorpel an seiner breitesten Stelle untersucht wird. Singuläre Osteochondrome mit einer Knorpelkappe unter 1 cm Dicke (= bei weitem am häufigsten): praktisch keine Gefahr der Entwicklung eines sekundären Chondrosarkoms. Bei der sogenannten Exostosenkrankheit (= multiple Osteochondrome an zahlreichen Knochen, genetisch determiniert) leicht erhöhtes Risiko für die Entwicklung eines Chondrosarkoms, da die Zahl der Tumoren pro Patient erhöht ist und so das Gesamtrisiko pro Patient steigt.
Bilder Typ
Histologie
Vergrösserung
Scan
Alter
12
Geschlecht
männlich
Datum
Ersteintrag: 15.04.2002