Basel 1MA/ Embryonales Rhabdomyosarkom

Diagnose
Embryonales Rhabdomyosarkom
Diagnose Gruppe
maligner Tumor
Differenzialdiagnose
  • Small Blue Round Cell Tumor (Neuroblastom
  • Ewing Sarkom / PNET
  • Lymphom)
  • Ewing Sarkom
Topographie Gruppe
Weichteile
Topographie
Weichteile Kopf
Einleitung
Histogenese:
Trotz Skelettmuskeldifferenzierung treten Rhabdomyosarkome auch in Geweben auf, wo normalerweise keine Skelettmuskulatur vorhanden ist (Ductus choledochus, Harnblase). Wahrscheinlich stammen die Tumorzellen von mesenchymalen Vorläuferzellen ab, welche die Fähigkeit zur Ausdifferenzierung in Skelettmuskulatur haben. Immunhistochemisch zeigen die Tumorzellen positive Reaktionen mit Antikörpern gegen Proteine, die für differenzierte Muskelzellen typisch sind. Dazu gehören beispielsweise Desmin, Aktin und Myogenin.

Lokalisation:
Rhabdomyosarkome können prinzipiell überall im Körper entstehen ausser im Knochen. Am häufigsten sind sie im Kopf-Hals Bereich, den Extremitäten und im Urogenitaltrakt. Etwas seltener sind sie am Stamm, in der Orbita oder retroperitoneal lokalisiert.
Metastasen finden sich meist in den Lungen, im Knochen, in Lymphknoten, in der Mamma und im Hirn.

Morphologie und histologische Subtypen:
Das makroskopische Bild ist uncharakteristisch und variiert in Abhängigkeit von der Lokalisation. Fokale Nekrosen und zystische Degeneration sind häufig. Es werden verschiedene histologische Subtypen unterschieden, welche charakteristische molekulargenetische Aberrationen aufweisen und mit unterschiedlichen Prognosen assoziiert sind. Die beste Prognose haben botryoide und spindelzellige Rhabdomyosarkome gefolgt von embryonalen Rhabdomyosarkomen (intermediäre Prognose) und alveolären bzw. pleomorphen Rhabdomyosarkomen (schlechteste Prognose). Therapieantwort und Prognose hängen neben der Histologie auch von der Lokalisation ab. Embryonale Rhabdomyosarkome zeigen ein breites morphologisches Spektrum. Dieses reicht von wenig differenzierten Tumoren, die nur mittels Immunhistochemie und Elektronenmikroskopie diagnostizierbar sind zu gut differenzierten Tumoren, die fetaler Muskulatur ähneln. Oft findet sich eine Mischung von wenig differenzierten kleinen, runden und/oder spindeligen Zellen und eine variable Anzahl differenzierter Rhabdomyoblasten mit reichlich eosinophilem Zytoplasma. Die Rhabdomyoblasten können rund, spindelig, kaulquappenförmig oder spinnwebenförmig sein. Besser differenzierte Zellen enthalten reichlich Zytoplasma mit Querstreifung, welche allerdings teilweise nur elektronenmikroskopisch nachweisbar ist.

update 5.9.2018
Klinik
Vorkommen:
Das Rhabdomyosarkom ist das häufigste Sarkom bei Kindern unter 15 Jahren. Die Inzidenz beträgt 6 Fälle pro 1 Million Kinder unter 15 Jahren pro Jahr. Das Verhältnis von männlichen zu weiblichen Patienten beträgt 1.2-1.4:1 und variiert mit der Tumorlokalisation. 87% der Patienten sind jünger als 15 Jahre. Erwachsene sind nur selten betroffen.

Symptomatik:
Die Patienten bemerken eine Schwellung oder eine wachsende Raumforderung, die in der Hälfte der Fälle Schmerzen verusacht.

Diagnostik:
Eine Biopsie erlaubt die Entnahme einer adäquaten und repräsentativen Gewebsprobe für Histologie und molekulargenetische Untersuchungen. Zur Staginguntersuchung gehört die Suche nach Metastasen.

Therapie:
Die Patienten werden meist mit einer Kombination von Chirurgie, Chemotherapie und Radiotherapie behandelt. Auch beim Vorliegen von Metastasen wird der Primärtumor meist chirurgisch exzidiert und/oder bestrahlt.

Prognose:
Bei Patienten mit limitierter Erkrankung haben sich die Überlebensraten mit der kombinierten Anwendung von Chirurgie, Radiotherapie und Chemotherapie verbessert. Das 5-Jahres Überleben aller Tumoren liegt bei ca. 70%. Für Patienten mit Metastasen hat sich die Prognose jedoch kaum verbessert. Die rezidivfreie 5-Jahres Überlebensrate dieser Patienten liegt bei weniger als 30%.

update 5.9.2018
Normalbefund
Morphologie
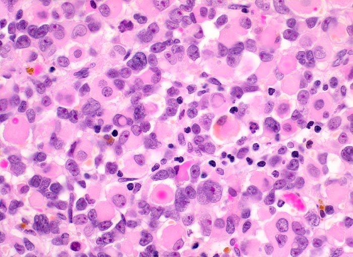
Morphologische Merkmale:
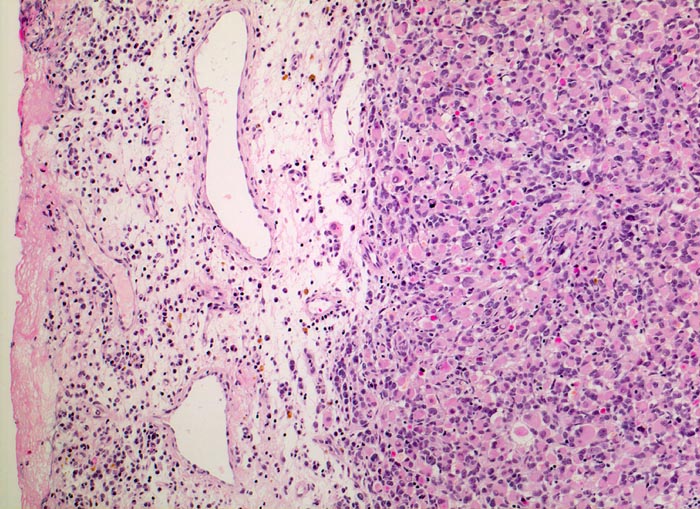
  • Konjunktivalschleimhautfragment. Fibrinauflagerungen anstelle der langstreckig abgeschilferten konjunktivalen Zylinderepithelbedeckung (unten).
  • Chronisches lymphoplasmazelluläres Entzündungsinfiltrat im subepithelialen Stroma mit unscharfer Begrenzung zu einem zellreichen soliden Tumor.
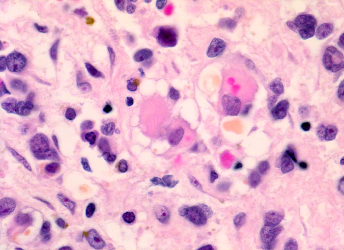
  • Dieser besteht aus mesenchymalen Zellen mit unterschiedlicher Ausdifferenzierung.
  • Die am wenigsten ausdifferenzierten Zellen zeigen wenig amphophiles Zytoplasma und ovale Kerne.
  • Dominierend sind in diesem Tumor teils mehrkernige Rhabdomyoblasten mit reichlich eosinophilem Zytoplasma und exzentrischem Zellkern. Die Querstreifung des Zytoplasmas ist in der HE Färbung nur andeutungsweise erkennbar.
  • "Spinnwebenzellen" mit peripheren Zytoplasmavakuolen.
Das sollte der Kliniker dem Pathologen mitteilen:
  • Genaue Lokalisation.
  • Radiologischer Befund.
  • Erstbefund oder Rezidiv.
  • Vollständige oder Teilresektion.
Praxis-Tipp:
  • Markierung der Resektionsränder (ev. Skizze zur Orientierung).
Makroskopie
Befund
Pathologischer Befund
Normalbefund
Datum
Ersteintrag: 01.04.2019
Update: 01.04.2019