PathoPic – image database / PathoPic ID 5147 - embryonales Rhabdomyosarkom

de
Diagnose
embryonales Rhabdomyosarkom
Diagnose Gruppe
maligner Tumor
Topographie
Weichteile Kopf
Topographie Gruppe
Weichteile
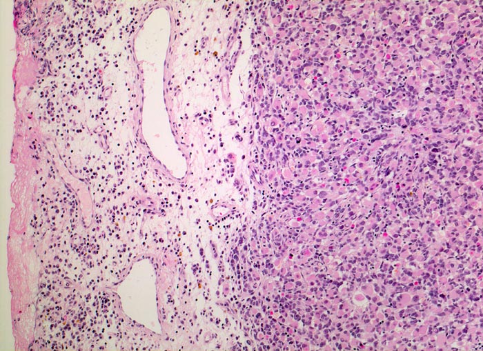
Beschreibung
Links im Bild ödematöses Bindegewebe mit gemischtem Entzündungsinfiltrat und Blutungsresiduen (braune Hämosiderinablagerungen). Der expansiv wachsende Tumor rechts im Bild hat keine Kapsel und besteht aus kleinen Gruppen primitiver Zellen mit rundlichen Kernen und praktisch fehlendem Zytoplasma sowie zahlreichen zytoplasmareichen Rhabdomyoblasten.
Klinik
Schmerzloser rasch wachsender Tumor im oberen inneren Quadranten der Orbita mit Verdrängung des Bulbus nach temporal. Diplopie.
Bilder Typ
Histologie
Vergrösserung
100
Alter
5
Geschlecht
unbekannt
Datum
Ersteintrag: 23.07.2002