Basel 2BA/ Seborrhoische Keratose

Diagnose
Seborrhoische Keratose
Diagnose Gruppe
benigner Tumor
Differenzialdiagnose
Topographie Gruppe
Haut
Topographie
Haut, Hals
Einleitung
Synonyma:
Verruca seborrhoica, seborrhoische Warze, Basalzellpapillom. 

Definition:
Gutartiger epidermaler Tumor des mittleren und höheren Lebensalters.

Makroskopie:
Beginn als hautfarbene oder rötlich-bräunliche, matte, scharf abgegrenzte Flecken. Langsame Entwicklung zu erhabenen und stärker pigmentierten bis zu mehreren Zentimeter grossen Tumoren. Samtartige oder verruköse Oberfläche. Porenartige Krater durch Abstossung von Hornpfröpfen. Grössere Tumoren wirken oft wie aufgeklebt und können unter Hinterlassung normaler Haut spontan abfallen. 

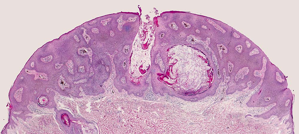
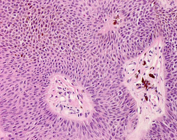
Histologie:
Die grosse makroskopische Vielgestaltigkeit widerspiegelt sich auch in einer variablen Histologie. Unterschieden werden mehrere histologische Subtypen der seborrhoischen Keratose: Hyperkeratotischer Typ (> 3435), akanthotischer Typ (Kurspräparat), klonaler Typ (> 7284) (> 7285), irritierte seborrhoische Keratose (> 3353) (> 3356). Typisch für seborrhoische Keratosen sind umschriebene Wirbelbildungen von Tumorzellen, sogenannte squamous eddies (> 8065). Der retikuläre Typ (> 7838) entwickelt sich in chronisch UV exponierter Haut meist im Gesicht und geht oftmals hervor aus einer solaren Lentigo (> 7839)
Klinik
Epidemiologie:
Häufigster gutartiger Hauttumor. Die Häufigkeit nimmt mit dem Alter zu. Ab der zweiten Lebenshälfte hat fast jedes Individuum mindestens eine bis zu hunderte seborrhoische Keratosen. Bei Kindern sind seborrhoische Keratosen sehr selten. Die Prädisposition für die Entwicklung seborrhoischer Keratosen ist in einigen Fällen autosomal dominant vererbt. 

Lokalisation:
Kommt überall Körper vor mit Ausnahme von Hand- und Fussflächen. Prädilektionsstellen sind das Gesicht, Rücken- und Brusthaut (vordere und hintere Schweissrinne).

Klinische Differentialdiagnosen:
Malignes Melanom, melanozytärer Naevus, Verruca vulgaris, Condyloma acuminatum, fibroepithelialer Polyp, epidermaler Naevus, aktinische Keratose, pigmentiertes Basalzellkarzinom und Plattenepithelkarzinom.

Therapie:
Seborrhoische Keratosen bedürfen keiner Therapie, können aber aus kosmetischen Gründen entfernt werden. Störende Tumoren können topisch behandelt oder oberflächlich abgetragen werden.
Normalbefund
Morphologie
Morphologische Merkmale: 
  • Erhabener (=exophytischer) Tumor 
  • Verdickte Epidermis (Akanthose) 
  • Keratingefüllte Epidermisinvaginationen und Hornzysten mit konzentrisch geschichteten Hornlamellen. 
  • Vernetzte Zellstränge bestehend aus monomorphen basaloiden zytoplasmaarmen Plattenepithelzellen. 
  • Herdförmige starke braune Pigmentierung der Tumorzellen. 
  • Perivaskulär betonte, oberflächlich dermale lymphohistiozytäre Entzündung mit Melanophagen. Das sollte der Kliniker dem Pathologen mitteilen: 
  • Alter des Patienten 
  • Tumorlokalisation 


update 2. November 2016
Makroskopie
Befund
Pathologischer Befund
Normalbefund
Datum
Ersteintrag: 10.07.2019
Update: 09.01.2024