Basel 3BA FS/ Fibroadenom der Mamma

Diagnose
Fibroadenom der Mamma
Diagnose Gruppe
benigner Tumor
Differenzialdiagnose
  • Phylloidestumor
Topographie Gruppe
Mamma
Topographie
Mamma
Einleitung
Histogenese:
Fibroadenome leiten sich ab vom Epithel und vom intralobulären Stroma der terminalen duktulolobulären Einheit.

Pathogenese:
Das Fibroadenom entsteht aufgrund einer durch hormonelle Dysregulation induzierten Hyperplasie des lobulären Stromas. Diese führt zu einer Verformung und Kompression der duktulo-lobulären Gangsegmente.

Morphologie:
Makroskopisch haben die runden knolligen weissen Tumoren eine mittlere Grösse von 1-2cm. In 15% der Fälle finden sich multiple Fibroadenome. Auf Schnitt sind die komprimierten Gänge als spaltförmige Zeichnung erkennbar.
Das Stroma ist myxoid, fibrös-zellulär oder sklerotisch. Das zweireihige Epithel, welches die Spalten auskleidet, kann dieselben Veränderungen zeigen wie das normale Drüsenepithel (Epithelhyperplasie, Epithelmetaplasie, sklerosierende Adenose, Zystenbildung). In 0.2% aller Fibroadenome entwickelt sich ein in situ Karzinom (95%) oder ein invasives Karzinom (5%). Das juvenile Fibroadenom ist charakterisiert durch zellreiches Stroma, Epithelhyperplasie, rasches Wachstum und beträchtliche Grösse.
Klinik
Vorkommen:
Am häufigsten erkranken Frauen zwischen dem 20. und 30. Lebensjahr. Weniger als 5% der Patientinnen sind älter als 50 jährig oder postmenopausal. Juvenile Fibroadenome treten meist vor dem 20. Lebensjahr auf. Das Fibroadenom ist der häufigste Mammatumor bei Frauen unter 30 Jahren.Gehäuft treten Fibroadenome nach exogener Östrogenersatztherapie auf während die Einnahme von oralen Kontrazeptiva mit einer geringeren Inzidenz assoziiert ist.

Diagnostik:
Fibroadenome und Zysten sind palpatorisch und mammographisch zuweilen nicht unterscheidbar. Palpable Tumoren bei Frauen unter 30 Jahren sollten mittels Ultraschall abgeklärt werden. Sonographisch ist es oft möglich Fibroadenome von Zysten und Karzinomen zu unterscheiden. Bei Unklarheit kann die Läsion sonographisch gesteuert biopsiert werden.

Therapie:
Eine Exzisionsbiopsie ist therapeutisch ausreichend.

Verlauf:
Im Alter kann es zur spontanen Regression von Fibroadenomen kommen.
Normalbefund
Morphologie
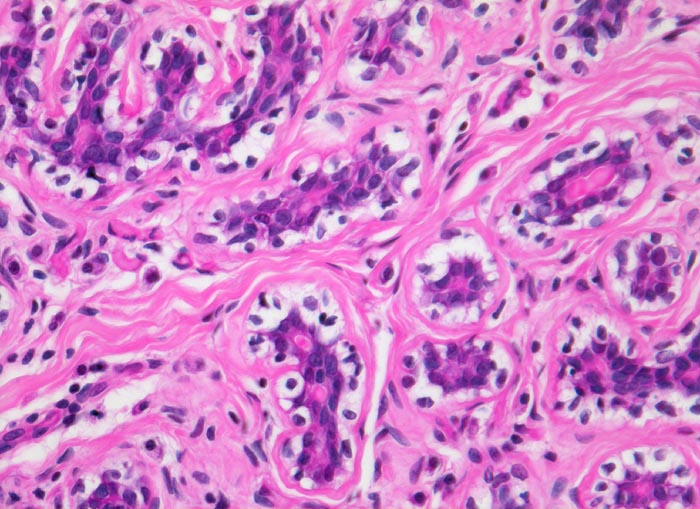
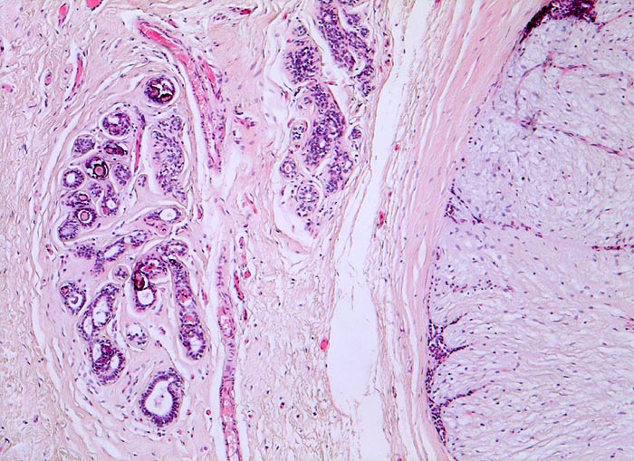
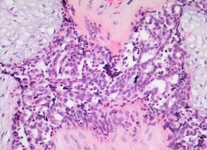
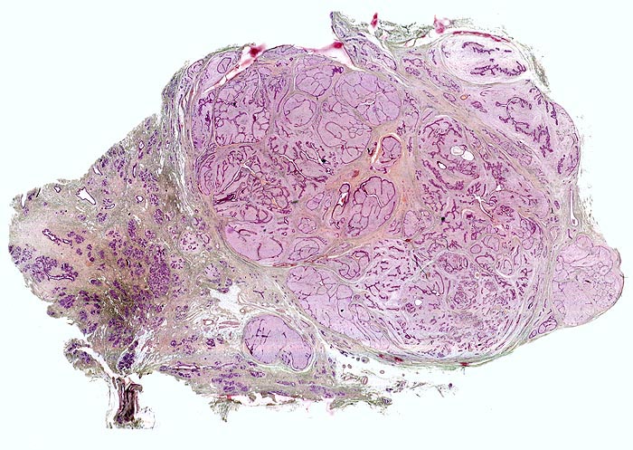
Morphologische Merkmale:
  • Zwei scharf begrenzte Tumorknoten.
  • Biphasischer organoid aufgebauter Tumor bestehend aus kompaktem zellarmem fibroblastärem Stroma, das in konzentrischen Lamellen um verzweigte, miteinander anastomosierende Drüsenschläuche angeordnet ist.
  • Die Drüsenschläuche werden durch das Stroma komprimiert.
  • Das Stroma erscheint herdförmig bläulich und aufgelockert durch Muzineinlagerungen.
  • Stellenweise gewöhnliche intraduktale Epithelproliferation ohne Atypie.
  • Die Drüsen werden ausgekleidet von einer inneren kubischen bis hochprismatischen Zellschicht und einer äusseren abgeflachten Myoepithelschicht mit klarem Zytoplasma.
Makroskopie
Befund
Pathologischer Befund
Normalbefund
Datum
Ersteintrag: 10.07.2019
Update: 10.07.2019