PathoPic – image database / PathoPic ID 3541 - Fibroadenom der Mamma: Epithelproliferation ohne Atypie

de
Diagnose
Fibroadenom der Mamma: Epithelproliferation ohne Atypie
Diagnose Gruppe
benigner Tumor
Topographie
Mamma
Topographie Gruppe
Mamma
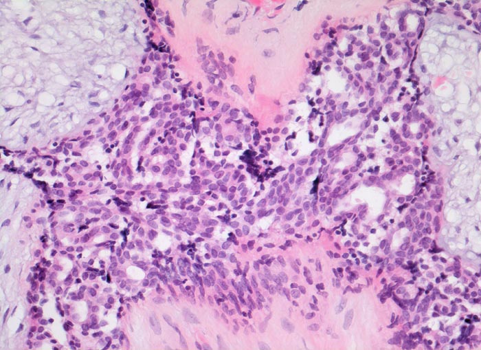
Beschreibung
Ausgeprägte Proliferation der epithelialen Komponente. Die proliferierten Zellen sind klein und zeigen keine zytologischen Atypien. Jeweils mehrere Zellen sind zu Strängen angeordnet und bilden ein fliessendes Muster. Zwischen den Strängen schlitzförmige Hohlräume. Das angrenzende Stroma ist zellarm und myxoid aufgelockert.
Klinik
Scharf begrenzter frei beweglicher 3cm grosser derber Knoten im oberen äusseren Quadranten.
Kommentar
Die epitheliale Komponente von Fibroadenomen kann alle Veränderungen zeigen, welche auch im Mammaparenchym vorkommen (gutartige Epithelproliferationen, atypische Epithelproliferationen, Carcinoma in situ, invasives Karzinom...)
Bilder Typ
Histologie
Vergrösserung
200
Alter
38
Geschlecht
unbekannt
Datum
Ersteintrag: 25.09.2002