PathoPic – image database / PathoPic ID 996 - Endometriose

de
Diagnose
Endometriose
Diagnose Gruppe
Metaplasie / Heterotopie
Topographie
Ovar
Topographie Gruppe
Genitalorgane, weiblich
Beschreibung
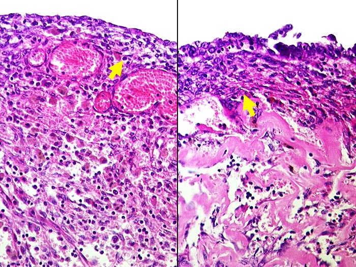
Auskleidung einer Schokoladezyste: links im Bild fehlt das Epithel. Ein schmaler Streifen endometranes Stroma ist sichtbar. Darunter zahlreiche Hämosiderinhaltige Makrophagen. Rechts ist das Epithel erhalten.
Zusatzbefund
Prallelastische Zyste mit 10ml dunkelbrauner Flüssigkeit.
Klinik
Schokoladezyste. V.a. Endometriose.
Bilder Typ
Histologie
Alter
28
Geschlecht
unbekannt
Datum
Ersteintrag: 28.11.2001
Update: 10.08.2010