PathoPic – image database / PathoPic ID 98 - Koronarthrombose

de
Diagnose
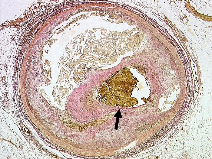
Koronarthrombose
Diagnose Gruppe
vaskulär / Durchblutungsstörung
Topographie
Arteria coronaris
Topographie Gruppe
Kardiovaskuläres System
Beschreibung
Exzentrische Stenose von mehr als 75% des Lumendurchmessers. Atherom mit herausgelösten Cholesterinkristallen. Intraluminale frische Thrombose.
Klinik
Transmuraler akuter Myokardinfarkt mit Myokardruptur bei thrombotischem Verschluss des RIVA.
Diabetes mellitus Typ II und Adipositas.
Bilder Typ
Histologie
Alter
96
Geschlecht
unbekannt
Datum
Ersteintrag: 24.10.2001