PathoPic – image database / PathoPic ID 9759 - Vaskuläres Typ AL-Amyloid des Duodenums

de
Diagnose
Vaskuläres Typ AL-Amyloid des Duodenums
Diagnose Gruppe
Systemerkrankung/Immunpathologie
Topographie
Duodenum
Topographie Gruppe
Darm, Anus
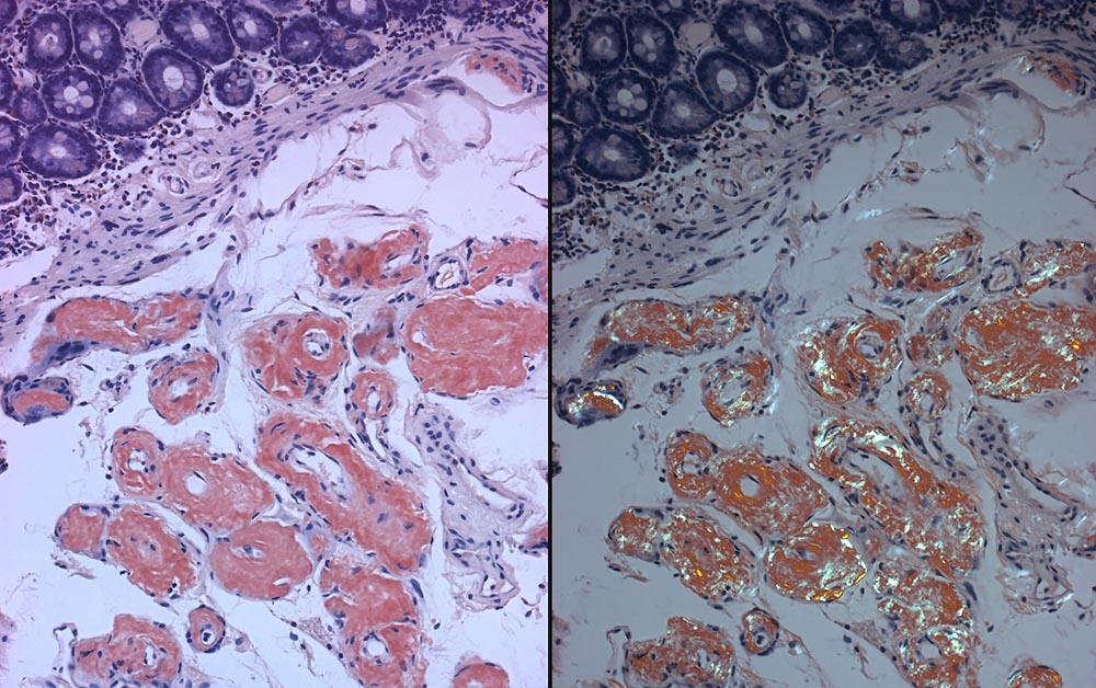
Beschreibung
Azelluläre Amyloidablagerungen in den Gefässwänden der Submukosa der Duodenalschleimhaut. Flaschengrüne Doppelbrechung der Amyloidablagerungen (rechts).
Zusatzbefund
Multiples Myelom. Bekannte AL-Amyloidose vom Typ Lambda Leichtketten.
Klinik
Multiples Myelom
Bilder Typ
Histologie
Vergrösserung
200
Alter
66
Geschlecht
unbekannt
Datum
Ersteintrag: 10.08.2007
Update: 13.02.2008