PathoPic – image database / PathoPic ID 909 - Warthin Tumor

de
Diagnose
Warthin Tumor
Diagnose Gruppe
benigner Tumor
Topographie
Parotis
Topographie Gruppe
Kopf & Hals, Sinnesorgane
Beschreibung
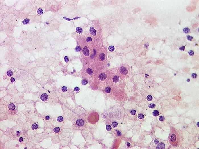
Onkozytäre Zellgruppe mit fein granuliertem rotem Zytoplasma. Runde zentralständige Zellkerne. Im Hintergrund mononukleäre Entzündungszellen.
Zusatzbefund
Scharf begrenzter bräunlicher feinzystischer Knoten in der Parotis. Aus den Zysten entleert sich eiterähnliche gelbrote Flüssigkeit.
Bilder Typ
Zytologie
Vergrösserung
630
Alter
78
Geschlecht
unbekannt
Datum
Ersteintrag: 23.11.2001
Update: 21.12.2007