PathoPic – image database / PathoPic ID 908 - Warthin Tumor

de
Diagnose
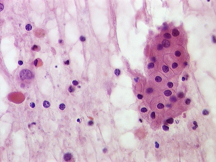
Warthin Tumor
Diagnose Gruppe
benigner Tumor
Topographie
Parotis
Topographie Gruppe
Kopf & Hals, Sinnesorgane
Beschreibung
Onkozytäre Zellgruppe mit fein granuliertem rotem Zytoplasma und scharfen Zellgrenzen. Runde zentralständige Zellkerne. Detritischer Hintergrund mit mononukleären Entzündungszellen.
Zusatzbefund
Scharf begrenzter bräunlicher feinzystischer Knoten in der Parotis. Aus den Zysten entleert sich eiterähnliche gelbrote Flüssigkeit.
Bilder Typ
Zytologie
Vergrösserung
630
Alter
78
Geschlecht
unbekannt
Datum
Ersteintrag: 20.12.2002
Update: 21.12.2007