PathoPic – image database / PathoPic ID 9004 - Atherosklerose der Arteria carotis

de
Diagnose
Atherosklerose der Arteria carotis
Diagnose Gruppe
vaskulär / Durchblutungsstörung
Topographie
Arteria carotis
Topographie Gruppe
Kardiovaskuläres System
Beschreibung
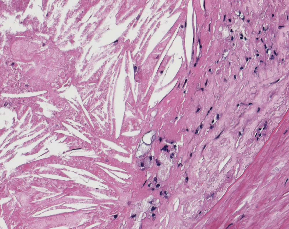
Bildausschnitt aus einem Atherom bestehend aus teils zerfallenen Schaumzellen und wetzsteinförmigen herausgelösten Cholesterinkristallen.
Klinik
Carotisstenose
Kommentar
Die Cholesterinkristalle entstehen nach dem Zerfall von lipidbeladenen Makrophagen.
Bilder Typ
Histologie
Vergrösserung
200
Alter
74
Geschlecht
unbekannt
Datum
Ersteintrag: 14.03.2006
Update: 28.06.2006