PathoPic – image database / PathoPic ID 891 - Halothan Hepatitis mit portozentraler Brückennekrose

de
Diagnose
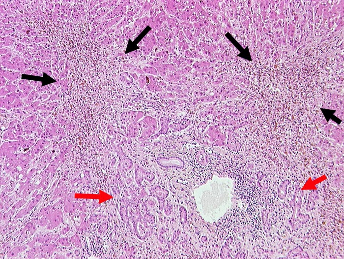
Halothan Hepatitis mit portozentraler Brückennekrose
Diagnose Gruppe
Therapiefolgen
Topographie
Leber
Topographie Gruppe
Leber, Gallenwege, Pankreas
Beschreibung
Zwischen den Pfeilen liegen Nekrosebrücken ausgehend von einem Portalfeld. Portalfeld mit Ductulusproliferationen.
Zusatzbefund
Kanalikuläre Cholestase.
Bilder Typ
Histologie
Geschlecht
weiblich
Datum
Ersteintrag: 22.11.2001