PathoPic – image database / PathoPic ID 841 - Morbus Basedow: Makropapillen

de
Diagnose
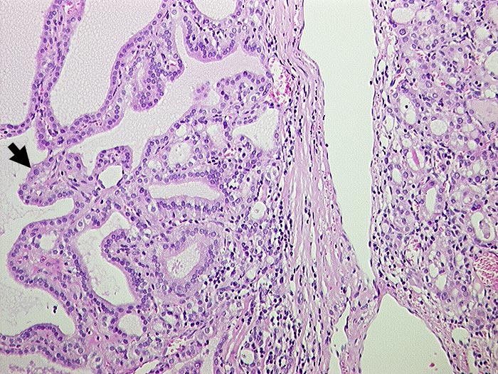
Morbus Basedow: Makropapillen
Diagnose Gruppe
organspezifische Erkrankung
Topographie
Schilddrüse
Topographie Gruppe
Endokrinium
Beschreibung
Links im Bild makropapilläre Proliferationen und Sanderson-Polster. Rechts aktivierte Follikel mit grossen Epithelzellen und praktisch fehlendem Kolloid.
Zusatzbefund
Makroskopisch diffus vergrösserte Schilddrüse mit auffallend hellem homogenem mittellobuliertem Parenchym.
Klinik
Morbus Basedow.
Bilder Typ
Histologie
Alter
41
Geschlecht
unbekannt
Datum
Ersteintrag: 21.11.2001