PathoPic – image database / PathoPic ID 7602 - Chronisches Ekzem

de
Zeitverlauf
Diagnose
Chronisches Ekzem
Diagnose Gruppe
Entzündung / Reparatur
Topographie
Haut, Rumpf
Topographie Gruppe
Haut
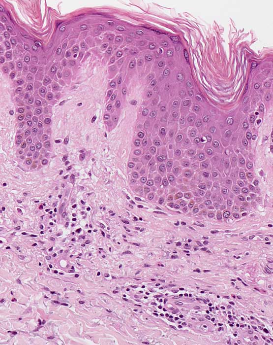
Beschreibung
Kompakte Hyper-Orthokeratose. Unregelmässige psoriasiforme Epidermishyperplasie und diskrete Spongiose. Oberflächlich dermales perivaskulär betontes Entzündungsinfiltrat mit Beteiligung einzelner eosinophiler Granulozyten. Geringe Fibrose der papillären Dermis.
Klinik
Chronische Kontaktdermatitis.
Bilder Typ
Histologie
Vergrösserung
200
Alter
48
Geschlecht
unbekannt
Datum
Ersteintrag: 02.01.2004
Update: 27.01.2004