PathoPic – image database / PathoPic ID 743 - Septische Embolie

de
Diagnose
Septische Embolie
Diagnose Gruppe
Entzündung infektiös
Topographie
Lunge
Topographie Gruppe
Lunge, Mediastinum mit Thymus
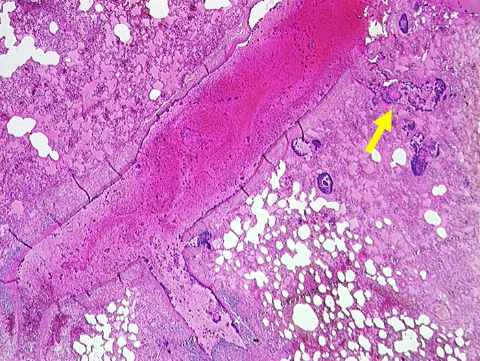
Beschreibung
Blaue Bakterienhaufen in einem Pulmonalarterienast und im angrenzenden Lungenparenchym. Lungenödem und Hämorrhagien.
Zusatzbefund
Septische Embolien in der Lunge. Nachweis koagulasepositiver Staphylokokken im Blut und im Perikarderguss.
Klinik
Exzision einer axillären Pyodermie (wahrscheinlich Furunkel) durch den Patienten selbst vor 10 Tagen. Staphylokokkus aureus Sepsis. Septisch toxischer Schock mit Herzstillstand.
Kommentar
Die Mortalität bei Staphylokokkensepsis mit Pneumonie beträgt über 80%.
Bilder Typ
Histologie
Alter
26
Geschlecht
männlich
Datum
Ersteintrag: 19.11.2001