PathoPic – image database / PathoPic ID 735 - Kleinzelliges Karzinom

de
Diagnose
Kleinzelliges Karzinom
Diagnose Gruppe
maligner Tumor
Topographie
Lunge
Topographie Gruppe
Lunge, Mediastinum mit Thymus
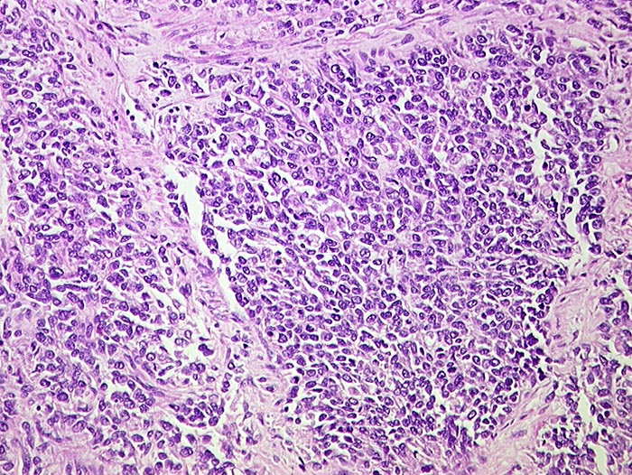
Beschreibung
Solide Platten von kleinen Tumorzellen mit sehr wenig Zytoplasma und teils runden, teils eckigen Kernen.
Zusatzbefund
Kleinzelliges Karzinom der Lunge als autoptischer Zufallsbefund. Lebermetastasen.
Klinik
St.n. Radio/Chemotherapie wegen Hypopharynxkarzinom.
Bilder Typ
Histologie
Alter
66
Geschlecht
männlich
Datum
Ersteintrag: 19.11.2001