PathoPic – image database / PathoPic ID 7038 - normale Felderhaut vom Oberschenkel

de
Diagnose
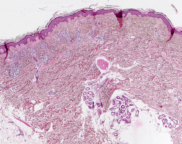
normale Felderhaut vom Oberschenkel
Diagnose Gruppe
Normalbefund
Topographie
Haut, untere Extremität
Topographie Gruppe
Haut
Beschreibung
Das Korium der Oberschenkelhaut ist etwas dünner als das Korium der Rückenhaut. Haare sind nicht sehr zahlreich und reichen nicht sehr tief. In diesem Anschnitt ist lediglich ein Musculus arrector pili sichtbar, der auf die Anwesenheit eines Haarfollikels hindeutet.
Bilder Typ
Histologie
Vergrösserung
25
Alter
44
Geschlecht
männlich
Datum
Ersteintrag: 04.12.2003
Update: 09.12.2003