PathoPic – image database / PathoPic ID 701 - Schwer stenosierende Koronarsklerose

de
Schweregrad
Diagnose
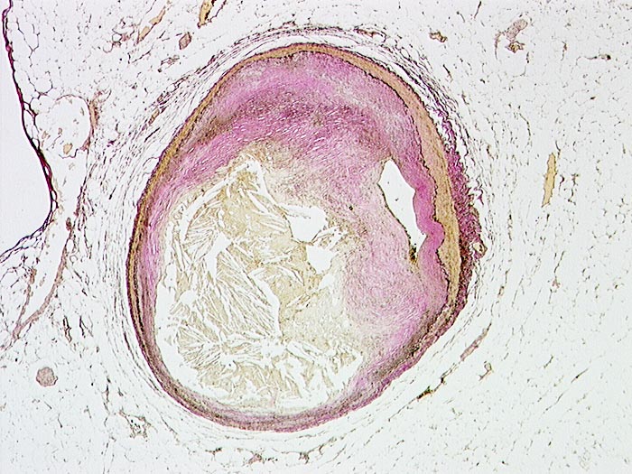
Schwer stenosierende Koronarsklerose
Diagnose Gruppe
vaskulär / Durchblutungsstörung
Topographie
Arteria coronaris
Topographie Gruppe
Kardiovaskuläres System
Beschreibung
Ein grösseres Atherom und die fibrotische Verdickung der Intima stenosieren das Lumen der Koronararterie. Es besteht eine mehr als 75 prozentige Stenose des Lumens.
Bilder Typ
Histologie
Geschlecht
weiblich
Datum
Ersteintrag: 16.11.2001