PathoPic – image database / PathoPic ID 6863 - Chronische Radiodermatitis

de
Diagnose
Chronische Radiodermatitis
Diagnose Gruppe
Therapiefolgen
Topographie
Haut, Rumpf
Topographie Gruppe
Haut
Beschreibung
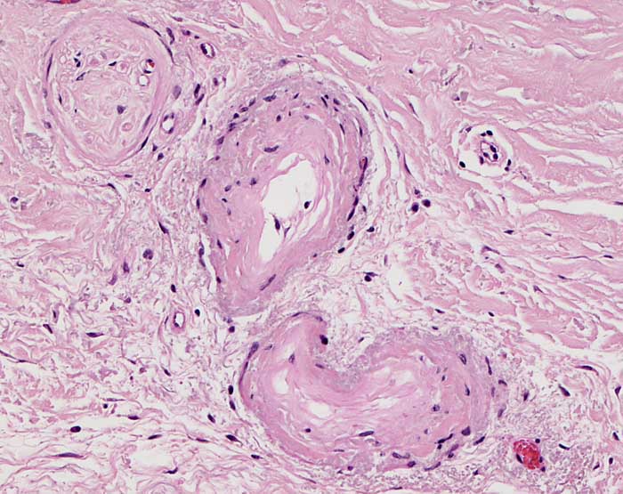
Tief dermale Gefässe mit verdickter fibrosierter Wand und Lumeneinengung. Elastose des perivaskulären Bindegewebes.
Klinik
Fraktionierte Bestrahlung vor mehreren Jahren.
Bilder Typ
Histologie
Vergrösserung
200
Alter
75
Geschlecht
unbekannt
Datum
Ersteintrag: 29.11.2003
Update: 15.12.2003