PathoPic – image database / PathoPic ID 6862 - Chronische Radiodermatitis

de
Diagnose
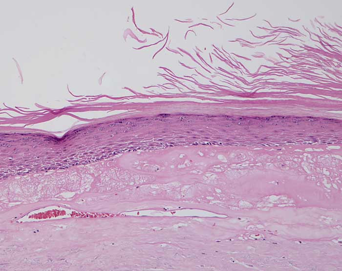
Chronische Radiodermatitis
Diagnose Gruppe
Therapiefolgen
Topographie
Haut, Rumpf
Topographie Gruppe
Haut
Beschreibung
Hyperkeratose. Zellarme hyalinisierte Dermis. Teleangiektatische Gefässe.
Klinik
Fraktionierte Bestrahlung vor mehreren Jahren.
Bilder Typ
Histologie
Vergrösserung
100
Alter
75
Geschlecht
unbekannt
Datum
Ersteintrag: 29.11.2003
Update: 15.12.2003