Pathopic
HiPaKu
ZyPaKu
PathoBasic
PathoBasic Cytology
Quizzes
Projektinfos
PathoPic - Projekt- und Copyright-Info
About
Pathopic
HiPaKu
ZyPaKu
PathoBasic
PathoBasic Cytology
Quizzes
PathoPic – image database
/
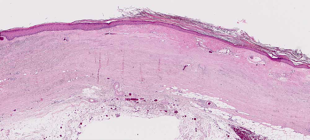
PathoPic ID 6861 - Chronische Radiodermatitis
de
Diagnose
Chronische Radiodermatitis
Diagnose Gruppe
Therapiefolgen
Topographie
Haut, Rumpf
Topographie Gruppe
Haut
Beschreibung
Herdförmige Hyperkeratose. Vollständige Atrophie der Adnexe. Dermale Sklerose und fokale
Elastose.
Teleangiektasien. Fibröse
Wandverdickung der Blutgefässe.
Klinik
Fraktionierte Bestrahlung vor mehreren Jahren.
Bilder Typ
Histologie
Vergrösserung
25
Alter
75
Geschlecht
unbekannt
Datum
Ersteintrag: 29.11.2003
Update: 15.12.2003
CPS
·
©
2024 Institut für Pathologie Basel
/
Dr. med. Katharina Glatz-Krieger
.
·
v2.1