PathoPic – image database / PathoPic ID 6834 - Psoriasis vulgaris

de
Diagnose
Psoriasis vulgaris
Diagnose Gruppe
Entzündung / Reparatur
Topographie
Haut, Rumpf
Topographie Gruppe
Haut
Beschreibung
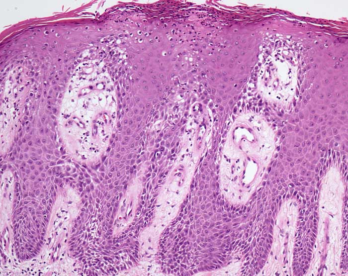
Regelmässige Akanthose und stark elongierte gleichlange Reteleisten. Die Reteleisten sind teils dünn, teils am unteren Ende kolbenförmig verbreitert. ${qy8032822Parakeratose mit Neutrophilen} Fokale Parakeratose mit Ansammlungen von neutrophilen Granulozyten. Das $o{ab15759sehr dünnes Str. granulosum} Stratum granulosum fehlt weitgehend. Leichte Spongiose (interzelluläres Ödem) der unteren Epidermisabschnitte. Ödematöse Papillen mit gewundenen ektatischen Kapillarknäueln reichen bis nah an die Hautoberfläche heran. Perivsakuläres lymphozytäres Infiltrat.
Kommentar
Die Histomorphologie ist stadienabhängig. Das Bild zeigt eine vollentwickelte Läsion.
Bilder Typ
Histologie
Vergrösserung
100
Alter
60
Geschlecht
männlich
Datum
Ersteintrag: 28.11.2003
Update: 06.05.2009