Pathopic
HiPaKu
ZyPaKu
PathoBasic
PathoBasic Cytology
Quizzes
Projektinfos
PathoPic - Projekt- und Copyright-Info
About
Pathopic
HiPaKu
ZyPaKu
PathoBasic
PathoBasic Cytology
Quizzes
PathoPic – image database
/
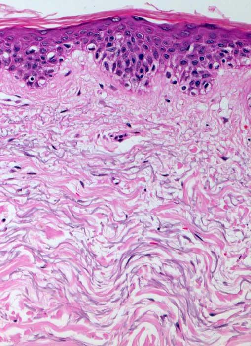
PathoPic ID 6613 - solare Elastose
de
Diagnose
solare Elastose
Diagnose Gruppe
Therapiefolgen
Topographie
Haut, obere Extremität
Topographie Gruppe
Haut
Beschreibung
Zahlreiche grau gefärbte Fasern in der Dermis sprechen für eine deutliche aktinische Schädigung der Haut.
Zusatzbefund
Malignes Melanom am Vorderarm. Bild zeigt Haut aus der Umgebung des Melanoms.
Klinik
Melanom am Vorderarm.
Bilder Typ
Histologie
Vergrösserung
200
Alter
60
Geschlecht
unbekannt
Datum
Ersteintrag: 30.06.2003
Update: 09.12.2003
CPS
·
©
2024 Institut für Pathologie Basel
/
Dr. med. Katharina Glatz-Krieger
.
·
v2.1