PathoPic – image database / PathoPic ID 6586 - schwere Dysplasie des Plattenepithels CIN 3

de
Diagnose
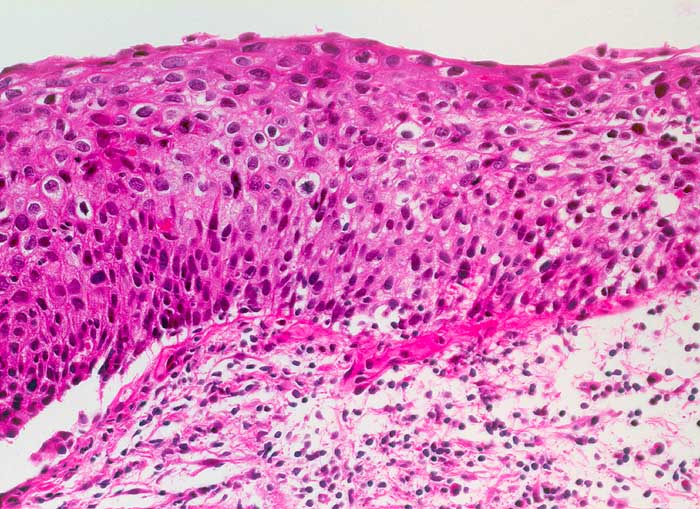
schwere Dysplasie des Plattenepithels CIN 3
Diagnose Gruppe
Präneoplasie/ Atypie/ Dignität?
Topographie
Portio
Topographie Gruppe
Genitalorgane, weiblich
Beschreibung
Deutliche Kernvergrösserung und Kernatypien sowie Polaritätsverlust der Epithelzellen in der gesamten Epithelbreite. Lediglich die Kerne der obersten Epithelschicht zeigen eine Ausreifung und sind abgeflacht. Suprabasale Mitose.
Bilder Typ
Histologie
Vergrösserung
200
Alter
27
Geschlecht
unbekannt
Datum
Ersteintrag: 01.04.2003
Update: 10.08.2010