PathoPic – image database / PathoPic ID 6545 - Urothelien mit reaktiven Epithelatypien bei Urolithiasis

de
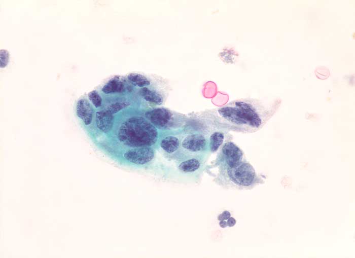
Diagnose
Urothelien mit reaktiven Epithelatypien bei Urolithiasis
Diagnose Gruppe
Entzündung / Reparatur
Topographie
Urin
Topographie Gruppe
Niere, Harnwege
Beschreibung
Urothelien mit hyperchromatischen und polymorphen Kernen, die ein grob gekörntes und unregelmässig verteiltes Chromatin enthalten. Zytoplasma dicht und recht breit.
Zusatzbefund
Zu wissenschaftlichen Zwecken wurde eine Untersuchung mittels Fluoreszenz-in-situ-Hybridisierung mit der Mehrfachprobe UroVysion (Vysis, Inc.) durchgeführt, mit der sich Aberrationen der 4 Chromosomen 3, 7, 17 und 9p21 simultan erfassen lassen. Dabei fand sich lediglich eine Urothelzelle mit einem tetraploiden Chromosomenmuster (je 4 Signale für alle 4 Proben). Andere chromosomale Veränderungen lagen nicht vor. Dieser FISH-negative Befund passt zu reaktiven Kernveränderungen bei mittlerweile nachgewiesener Ureterolithiasis.
Klinik
Urolithiasis
Bilder Typ
Zytologie
Vergrösserung
400
Alter
65
Geschlecht
unbekannt
Datum
Ersteintrag: 26.03.2003
Update: 31.03.2003