PathoPic – image database / PathoPic ID 6543 - Urothelien mit reaktiven Epithelatypien bei Urolithiasis

de
Diagnose
Urothelien mit reaktiven Epithelatypien bei Urolithiasis
Diagnose Gruppe
Entzündung / Reparatur
Topographie
Urin
Topographie Gruppe
Niere, Harnwege
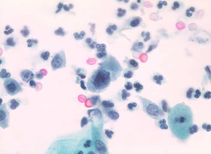
Beschreibung
Vor einem granulozytär entzündlichen Hintergrund finden sich deutlich aktivierte Urothelzellen mit vergrösserten Kernen. In der Mitte eine Urothelzelle mit hyperchromatischem Kern.
Zusatzbefund
Zu wissenschaftlichen Zwecken wurde eine Untersuchung mittels Fluoreszenz-in-situ-Hybridisierung mit der Mehrfachprobe UroVysion (Vysis, Inc.) durchgeführt, mit der sich Aberrationen der 4 Chromosomen 3, 7, 17 und 9p21 simultan erfassen lassen. Dabei fand sich lediglich eine Urothelzelle mit einem tetraploiden Chromosomenmuster (je 4 Signale für alle 4 Proben). Andere chromosomale Veränderungen lagen nicht vor. Dieser FISH-negative Befund passt zu reaktiven Kernveränderungen bei mittlerweile nachgewiesener Ureterolithiasis.
Klinik
Urolithiasis
Bilder Typ
Zytologie
Vergrösserung
630
Alter
65
Geschlecht
unbekannt
Datum
Ersteintrag: 26.03.2003
Update: 31.03.2003