PathoPic – image database / PathoPic ID 6541 - Nicht invasives papilläres Urothelkarzinom, low grade pTa, G2

de
Grad
Diagnose
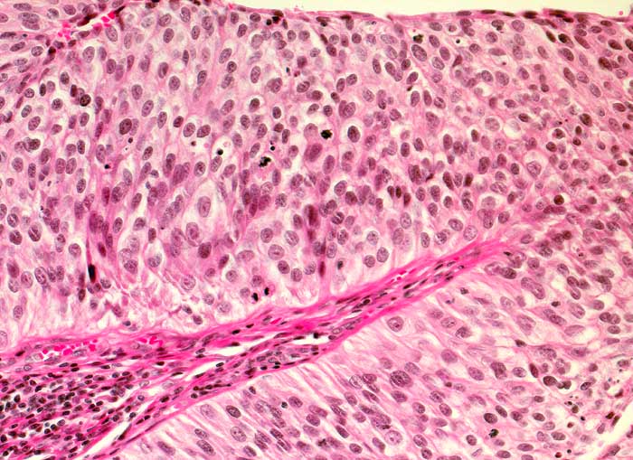
Nicht invasives papilläres Urothelkarzinom, low grade pTa, G2
Diagnose Gruppe
maligner Tumor
Topographie
Harnblase
Topographie Gruppe
Niere, Harnwege
Beschreibung
Das bedeckende Urothel des papillären Tumors ist deutlich verdickt. Verglichen mit normalem Urothel sind die Zellen dieses mässig differenzierten Tumors leicht vergrössert, unregelmässig gelagert und hyperchromatisch. Gelegentlich sind Mitosen nachweisbar. Die Epithel-Stroma Grenze ist scharf.
Klinik
Rezidivierende Urotheltumoren. Aktuell: Ureter-Tumor.
Bilder Typ
Histologie
Vergrösserung
200
Alter
62
Geschlecht
männlich
Datum
Ersteintrag: 26.03.2003
Update: 16.04.2009