Pathopic
HiPaKu
ZyPaKu
PathoBasic
PathoBasic Cytology
Quizzes
Projektinfos
PathoPic - Projekt- und Copyright-Info
About
Pathopic
HiPaKu
ZyPaKu
PathoBasic
PathoBasic Cytology
Quizzes
PathoPic – image database
/
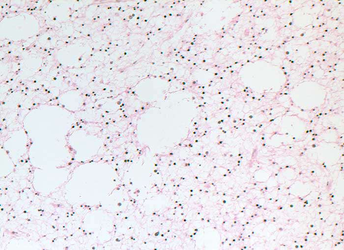
PathoPic ID 6502 - fibrilläres Astrozytom WHO II
de
Diagnose
fibrilläres Astrozytom WHO II
Diagnose Gruppe
maligner Tumor
Topographie
Hirn parietal
Topographie Gruppe
Nervensystem
Beschreibung
Man erkennt einen mässig zellreichen fibrillären, stellenweise auch mikrozystischen Tumor. Keine Gefässproliferationen oder Nekrosen. Das Bild ist typisch für ein low grade Astrozytom.
Klinik
Gliom rechts fronto-parietal.
Bilder Typ
Histologie
Vergrösserung
100
Alter
44
Geschlecht
männlich
Datum
Ersteintrag: 18.03.2003
Update: 31.03.2003
CPS
·
©
2024 Institut für Pathologie Basel
/
Dr. med. Katharina Glatz-Krieger
.
·
v2.1