PathoPic – image database / PathoPic ID 6501 - fibrilläres Astrozytom WHO II

de
Diagnose
fibrilläres Astrozytom WHO II
Diagnose Gruppe
maligner Tumor
Topographie
Hirn parietal
Topographie Gruppe
Nervensystem
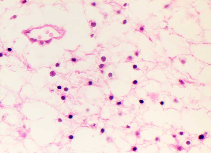
Beschreibung
Man erkennt einen zellarmen fibrillären, stellenweise auch mikrozystischen Tumor. Es finden sich keine Mitosen. Ebenso wenig lassen sich Gefässproliferationen oder Nekrosen darstellen. Das Bild ist typisch für ein low grade Astrozytom.
Klinik
Gliom rechts fronto-parietal.
Bilder Typ
Histologie
Vergrösserung
400
Alter
44
Geschlecht
männlich
Datum
Ersteintrag: 18.03.2003
Update: 31.03.2003