Pathopic
HiPaKu
ZyPaKu
PathoBasic
PathoBasic Cytology
Quizzes
Projektinfos
PathoPic - Projekt- und Copyright-Info
About
Pathopic
HiPaKu
ZyPaKu
PathoBasic
PathoBasic Cytology
Quizzes
PathoPic – image database
/
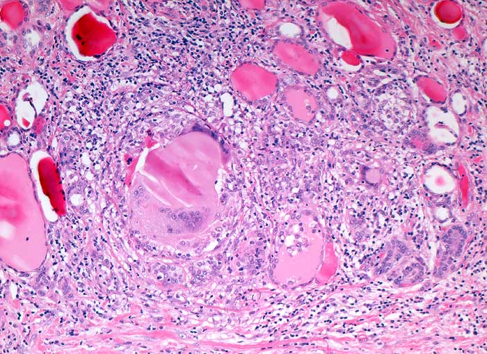
PathoPic ID 6494 - Granulomatöse Thyreoiditis de Quervain
de
Diagnose
Granulomatöse Thyreoiditis de Quervain
Diagnose Gruppe
Entzündung / Reparatur
Topographie
Schilddrüse
Topographie Gruppe
Endokrinium
Beschreibung
Das Schilddrüsenparenchym wird fokal von einer granulomatös-riesenzelligen Entzündung zerstört. Mehrere Riesenzellen umgeben das
Kolloid eines zerstörten Follikels.
Klinik
Unklarer Schilddrüsentumor rechts, solitär, derb
Bilder Typ
Histologie
Vergrösserung
100
Alter
48
Geschlecht
männlich
Datum
Ersteintrag: 11.03.2003
Update: 28.03.2003
CPS
·
©
2024 Institut für Pathologie Basel
/
Dr. med. Katharina Glatz-Krieger
.
·
v2.1