PathoPic – image database / PathoPic ID 6492 - Granulomatöse Thyreoiditis de Quervain

de
Diagnose
Granulomatöse Thyreoiditis de Quervain
Diagnose Gruppe
Entzündung / Reparatur
Topographie
Schilddrüse
Topographie Gruppe
Endokrinium
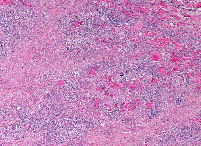
Beschreibung
Das Schilddrüsenparenchym wird fokal von einer granulomatösen Entzündung zerstört und ist herdförmig bereits ausgedehnt vernarbt.
Klinik
Unklarer Schilddrüsentumor rechts, im Ultraschall solitär, derb, echoarmer Randraum, unscharf begrenzt, Dm 1cm.
Bilder Typ
Histologie
Vergrösserung
25
Alter
48
Geschlecht
männlich
Datum
Ersteintrag: 11.03.2003
Update: 28.03.2003