PathoPic – image database / PathoPic ID 6480 - kleinzelliges Bronchuskarzinom

de
Diagnose
kleinzelliges Bronchuskarzinom
Diagnose Gruppe
maligner Tumor
Topographie
Pleuraerguss Zytologie
Topographie Gruppe
Körperhöhlen, Serosa
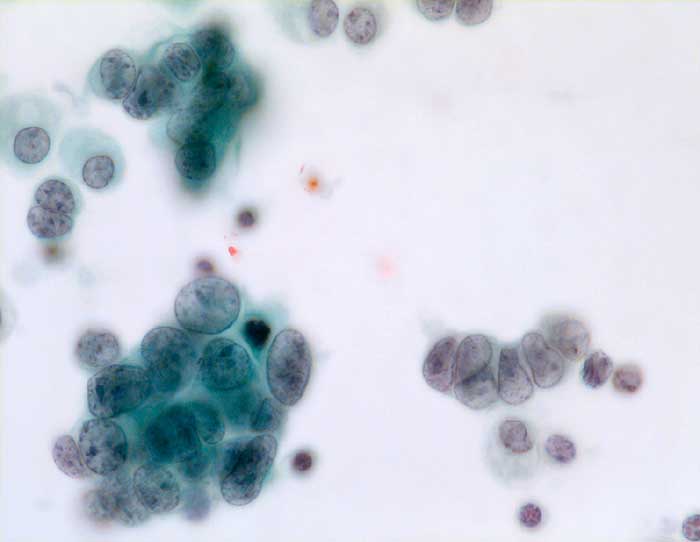
Beschreibung
Pleuraerguss: kleine dichte Aggregate atypischer Zellen mit Kernen, die etwa doppelt so gross sind wie die Kerne von Makrophagen. Das Zytoplasma ist sehr schmal. Die Kerne sind sehr polymorph, das Chromatin ist grob gekörnt. Nukleolen sind nicht vorhanden oder klein. Zum Teil bilden die Tumorzellen kurze Zeilen.
Bilder Typ
Zytologie
Vergrösserung
630
Alter
54
Geschlecht
männlich
Datum
Ersteintrag: 27.02.2003
Update: 28.03.2003